Don’t wait for problems to arise—keep your teeth healthy with regular, expert care!
Respectful care. Clear explanations. No judgment. Get a same-week appointment with Laurel’s trusted dental team.
Preventive services that keep your smile bright and healthy
Comprehensive exams to catch issues early
Friendly and experienced team focused on your comfort
Convenient appointment scheduling that works for you
New Patient Special
Includes Exam, Cleaning, & X-Rays*
*In the absence of gum disease. No fluoride
"“Hi, I know Dr Wang more than 10 years. In that time I receive very good dental care from her which included three inplants. I can't thanks her enough for her care for me. Her office staff was also so great. Also now that her office is in Lexington although she is an hour away from me, I still drive to her because she is worth it to drive for! Other than she is a great dentist, she is great person in side and out."

"“I have been going to Dr Wang’s office over 10 years now. Staff is amazing and everything is done in perfection. Because I moved further, I tried different dentist near by me but once you go Rose Wang’s dentistry, you realize the difference. So I am back to her dentist office now. I recommend 100%."
"“Dr. Wang runs an excellent practice! Every time I’ve come in for a cleaning I have had a great experience. Right when you walk in Wendy greets you and makes you feel so welcome. Dental Assistant Dally answered all my questions so professionally and efficiently. She transformed my smile and I am so grateful and Dr. Cheng gave me great recommendations which I am following to this day. Hygienist Lynne did such an awesome job with my cleaning. I highly recommend this dental office."

We believe that your oral health plays an important role in your overall health. Routine cleanings, screenings, and oral hygiene education provide a firm foundation to help you maintain your healthiest smile. An ounce of prevention is worth a pound of cure! Check out our new patient specials to get started on your journey to health today!
● Routine Cleanings
● Deep Cleanings
● Sealants
● Fluoride Treatment
● Night Guards

We use modern therapies and techniques to restore your oral health and brilliant smile. From fillings to extractions, our team of practitioners and specialists create custom solutions for every patient to achieve the best restorative care.
● Fillings, Onlay & Inlay
● Crown & Bridge
● Dentures
● Extractions

We believe that your oral health plays an important role in your overall health. Routine cleanings, screenings, and oral hygiene education provide a firm foundation to help you maintain your healthiest smile. An ounce of prevention is worth a pound of cure! Check out our new patient specials to get started on your journey to health today!
● Routine Cleanings
● Deep Cleanings
● Sealants
● Fluoride Treatment
● Night Guards

When care means replacement, only the best in modern therapies will do. We provide the latest in implant and reconstructive care. Check out our implant specials today!
● Implant Placement & Restoration
● Bone Grafting
● Implant Bridge
● Implant Crown
● Full-mouth Reconstruction
● Implant-supported Denture

When care means replacement, only the best in modern therapies will do. We provide the latest in implant and reconstructive care. Check out our implant specials today!
● Implant Placement & Restoration
● Bone Grafting
● Implant Bridge
● Implant Crown
● Full-mouth Reconstruction
● Implant-supported Denture

Root canal therapies have come a long way in recent years. While in the past a tooth with diseased or damaged nerves may have been removed, advanced techniques allow dentists to remove decay, heal nerve endings, and restore tooth structure. We believe saving a tooth is always preferable to taking a tooth out if possible – let us help save your teeth today!
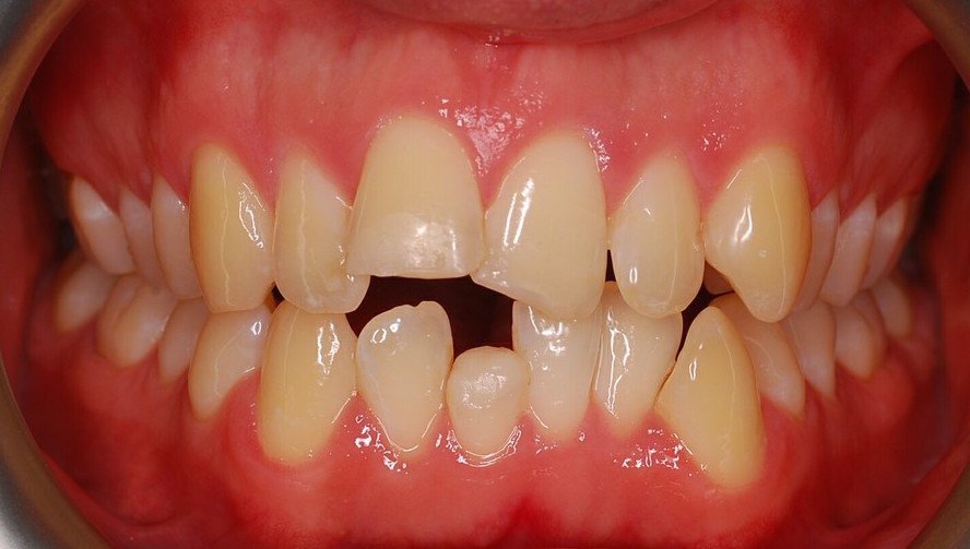
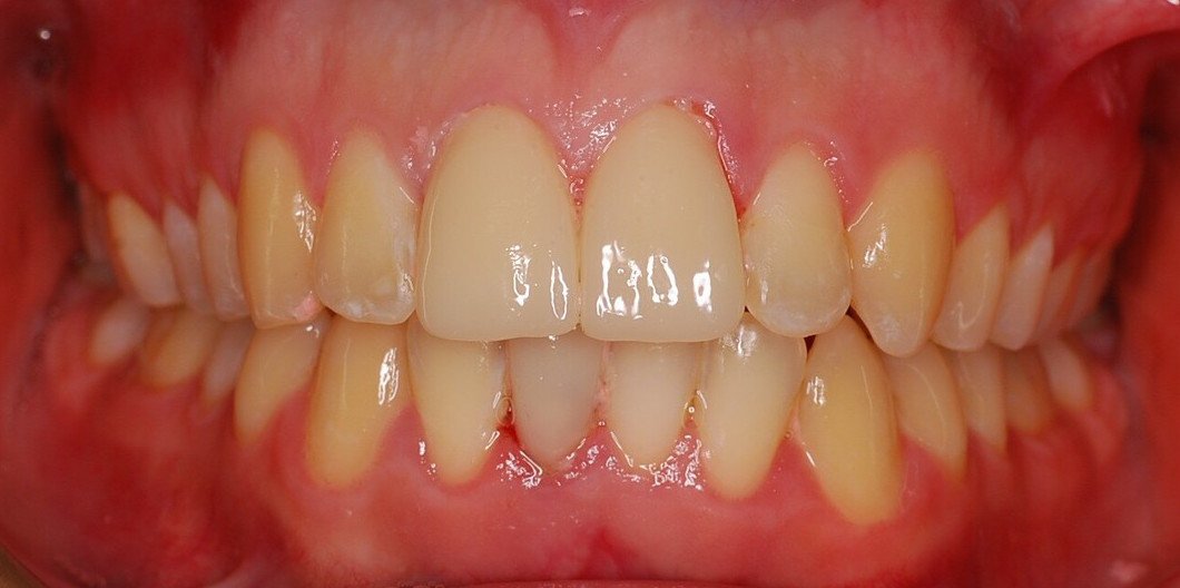
Invisalign

Before

After
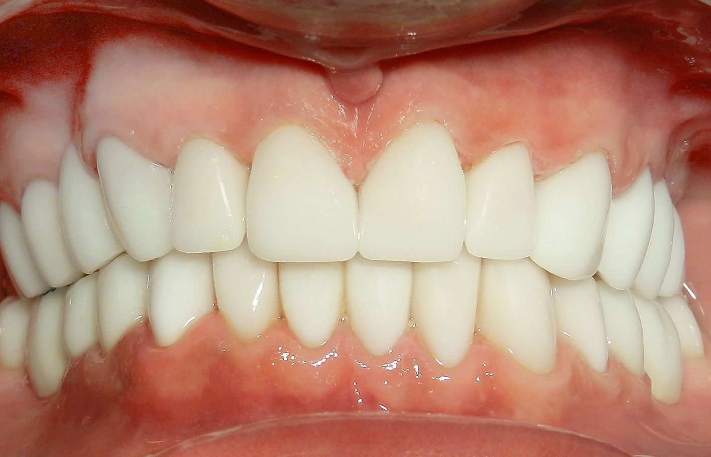
Dental Implant

Before

After

Dr. Rose Wang is a General Dentist in Lexington, Massachusetts. She graduated with a D.M.D. degree from the University of Pennsylvania, School of Dental Medicine in 1996. She also holds an M.S. degree in Oral Science from the State University of New York at Buffalo.
Dr. Wang has been practicing dentistry since her graduation. The objective of her practice is to provide a wide range of dental services of the highest quality and an affordable price. Dr. Wang has made great efforts to continue her professional learning and has completed over a thousand hours of continuing education in the past years. She has been specially-trained in implant and cosmetic dentistry and her practice enjoys the latest dental technologies. Most importantly, Dr. Wang is determined to follow the highest ethical standards and appreciates the friendship and the utmost trust from her patients in the Lexington communities.
Dr. Cheng is a General Dentist in Lexington, Massachusetts.
She graduated from the University of Pennsylvania, School of Dental Medicine, with a D.M.D. in 2017. She then completed a 1-year General Practice Residency program at New York-Presbyterian/Weill Cornell.
Dr. Cheng was first exposed to dentistry at an early age through her mother (Dr. Wang!), who instilled in her a passion for helping patients improve not only their smiles but also their dental health. She is excited to learn more and is constantly trying to improve her knowledge to better help her patients.

Includes Exam, Cleaning, & X-Rays*
*In the absence of gum disease. No fluoride